See inside your cycle. Daily. At home.

Clinical grade imaging, without the clinic. We send you an imaging kit so you can scan yourself daily, and have a detailed clinician report on your reproductive health, within hours.

"I finally saw my PCOS symptoms and, despite them, saw the exact moment I ovulated. After a lot of guessing."

anonymous beta user
Chealth imaging probe and smartphone app
Fertility, condition and treatment monitoring
Beyond what hormone tests can show
Reviewed by certified clinicians & radiologists
No clinic visits or waiting lists
In minutes daily, for 2+ weeks
When convenient, at home entirely
Chealth imaging probe and smartphone app

Is Bloom right for you?

Bloom provides daily information on your reproductive health. Here is what that means for six common situations, and how Bloom could help you specifically.

Trying to Conceive

Did you know the ovulation window is only 12 to 24 hours? With Bloom you actually see it happen, the day it occurs. But you also learn so much more about your follicle, your uterine lining, all to give you the best chance of conception each cycle.

Learn exactly how Bloom can help you →

Irregular or Missing Periods

When cycles are unpredictable, many things could be happening. Are follicles developing? Is there a dominant follicle selecting? Is the lining responding? Daily imaging finally gives you objective answers about what your body is doing, so you can manage it more easily.

Learn exactly how Bloom can help you →

Endometriosis Monitoring

The average time to an endometriosis diagnosis in the UK is 8.5 years. Bloom gives you daily clinician-reviewed imaging (endometrial thickness, ovarian assessment, structural observations) documented in writing. Information you can bring to any specialist appointment to support a more informed conversation about your symptoms.

Learn exactly how Bloom can help you →

PCOS & Hormonal Issues

PCOS has a structural signature visible on imaging (how follicles are distributed, whether a dominant follicle selects, how ovarian volume looks across a cycle). Bloom tracks this, building a picture that tells you what your ovaries are actually doing, and what else might be causing you pain; not just what your hormones suggest.

Learn exactly how Bloom can help you →

Cycle Understanding

Your reproductive anatomy has a story that plays out each month; follicles growing, a lining thickening, ovulation happening or not. Most people never see it. Two weeks with Bloom gives you a detailed image of your own anatomy, reviewed by a certified clinician, to know what is happening in your body.

Learn exactly how Bloom can help you →

IVF & Treatment Monitoring

Track how your body responds to fertility treatments, hormone therapy, and other interventions. These processes can be difficult, and stressful. Bloom is here to accompany you and give you reassurance grounded in data. Daily home monitoring enables responsive treatment adjustments, when timing matters most.

Learn exactly how Bloom can help you →

How Bloom works

Safe, comfortable monitoring in your own space, on your schedule. Our intuitive system guides you through each scan at home in minutes, with professional analysis delivering actionable insights within hours.

1

A Conversation With Our Clinician

Before anything is sent, you'll have a short call with one of our clinicians. Together you'll discuss your goals, your cycle, and the best timing and duration for your monitoring — so that every scan captures what matters most for your situation.

2

We Send You Everything

Receive a complete kit for two+ weeks: medical-grade imaging probe, dedicated smartphone, and everything you need to monitor your reproductive health at home. Our clinician will be in touch to discuss your needs and timing.

3

Scan Daily at Home

Follow AI-powered real-time guidance on the phone we provide, whenever it is convenient for you. The system walks you through proper positioning in a couple of minutes and captures the images needed for professional analysis.

4

We Analyse Your Images

Your images are securely transmitted to our team of certified professionals who analyse your endometrial health, follicle development, and ovulation patterns.

5

Receive Detailed Reports

We regularly send you comprehensive reports with insights about your cycle, clearly explained. At the end of your time using Bloom, our team will provide you with a summary of our observations, in a format you can present and discuss with your doctor.

6

Return the Kit

After your monitoring period, simply return the kit using our prepaid shipping label. Keep all your reports and insights forever.

What you'll know after using Bloom

Every day of scanning adds a data point. Every users' need is different, and the specific information you will receive will be adapted for you. Here is some of the specific knowledge you can have by using Bloom; in writing, from a certified clinician.

Follicle Development

Your ovaries produce follicles each cycle (small fluid-filled sacs that grow) and, ideally, release a mature egg. Seeing how your follicles develop day by day tells you whether the process is unfolding as it should, and flags any patterns worth discussing with a specialist.

Ovulation

Ovulation is the event your whole cycle builds toward, but most people never actually know if or when it happened. Bloom gives you visual confirmation: the day it occurs, and what came after. Knowing this changes everything from conception planning to cycle understanding.

Uterine Lining

The endometrium (the lining of your uterus) changes thickness and texture throughout your cycle in response to hormones. How it looks at key moments reveals a lot about reproductive health, and is one of the indicators that is entirely invisible without imaging.

Your Overall Picture

After 14 days, your clinician compiles everything into a summary report, written in plain language, structured for sharing with a doctor. Not a raw data dump, but an informed clinical perspective on what your body showed across the monitoring window.

Sample Bloom report extract showing clinical findings
CHealth · Bloom
clinician Report · Extract
Reviewed by certified clinician
Imaging Findings
What your scans show
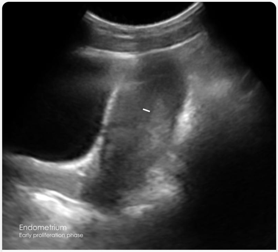
Uterine lining ultrasound
Uterus & Endometrium
Uterine lining — thin and smooth
Normal

Your uterus is a healthy size and shape. There are no signs of common growths like fibroids or adenomyosis. The lining of your uterus (the endometrium) looks smooth and thin, exactly what we expect to see at this stage of your cycle.

CHealth · Bloom
clinician Report · Extract
Reviewed by certified clinician
Imaging Findings
What your scans show
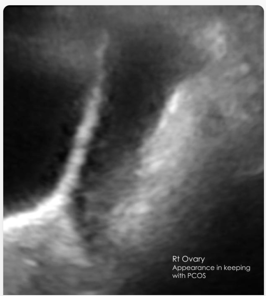
Right ovary with antral follicles ultrasound
Rt Ovary
Appearance in keeping
with PCOS
Right Ovary
More than 13 antral follicles visible
Worth Discussing

Your right ovary is a healthy size and shape. However, we counted more than 13 antral follicles. While having follicles is normal, a higher number like this can sometimes be a sign of Polycystic Ovary Syndrome (PCOS), or may be related to hormonal contraception.

CHealth · Bloom
clinician Report · Extract
Reviewed by certified clinician
Imaging Findings
What your scans show
Left ovary transverse view ultrasound Left ovary sagittal view ultrasound
Bilateral Ovaries
12 antral follicles — within normal range
Normal

Both ovaries are a healthy size and shape. A total of 12 antral follicles were visible (5 on the right, 7 on the left), which is within the normal range for your reproductive health. This is a reassuring result.

Note: These images were captured at home by a user with no medical training using Chealth technology, demonstrating the quality achievable with our guided scanning system.

Pricing

What you get, and what it costs

Daily clinical imaging at home, reviewed and reported by a certified clinician. More insight into your cycle than most women get in years of appointments, for cheaper.

Flexible Pricing
£135
per day
£1,500
for two weeks
How long you'll need the probe depends on your individual situation and will be discussed with our clinician before we send it to you. The duration and timing are tailored to your specific needs.
Duration Examples
  • • 5-7 days to confirm ovulation
  • • 3-4 days to see symptoms in keeping with PCOS
  • • 10-14 days for full cycle insights
  • • 2-3+ weeks for detailed cycle analysis
Money-back guarantee

If you are unable to perform a scan, or if we cannot give you insights, you get a full refund. No arguments.

  • Medical-grade probe + dedicated smartphone, shipped to you
  • Guided daily scanning in a few minutes, at home, when convenient
  • Certified clinician reviews every scan
  • Written daily reports in plain language
  • Final clinical summary, shareable with any specialist
  • Pre-call with your clinician to plan your monitoring

Interested but cost is a barrier?

Flexible Pricing
£135 per day
·
£1,500 for two weeks

Duration depends on your situation and is discussed with a clinician before we send anything. Typical examples:

  • 5–7 days to confirm ovulation
  • 3–4 days for signs of PCOS
  • 10–14 days for full cycle insights
  • 2–3+ weeks for detailed cycle analysis
  • Medical-grade probe + dedicated smartphone, shipped to you
  • Guided daily scanning in a few minutes, at home
  • Certified clinician reviews every scan
  • Written daily reports in plain language
  • Final clinical summary, shareable with any specialist
  • Pre-call with your clinician to plan your monitoring
Money-back guarantee — if we can't give you insights, you get a full refund.

Cost is a barrier? Let us know.

Certified Professionals

Medical Image Analysis Team

Evidence-Based

Clinical-Grade Technology

Data Privacy

Healthcare-Grade Encryption

Real-Time Guidance

AI-Supported Scanning

Get in Touch

Ready to start monitoring your reproductive health? Register your interest or send us your questions.

Register Your Interest

Bloom will launch following formal CQC approval. You will then be contacted first to discuss your needs and get priority access to our services: no commitment at this stage.

Get in touch

Questions, or cost is a barrier? Let us know.

Have Questions?

Send us a message and we'll answer, or help you figure out if Bloom is right for you; no obligation.

Interested but Cost is a Barrier?

Let us know; we're working to make this accessible

You're not alone in seeking answers

Millions of women face uncertainty about their reproductive health. Access to information and monitoring shouldn't be a barrier to understanding your own body.

1 in 7
couples experience infertility globally source
8 years
average time to endometriosis diagnosis source
1 in 10
women have PCOS worldwide source
70%
of women with PCOS remain undiagnosed globally source
580,000
women on the NHS gynaecology waiting listsource
4 months
wait for initial NHS fertility consultation for many source

Frequently Asked Questions

Everything you need to know about Chealth. Ask us anything else you would like to know.

Is this a diagnostic service? +
No. Bloom is a self-monitoring service, not a diagnostic service. A certified clinician reviews your scans and writes a report on what they observe, but this is not a clinical diagnosis. The reports are designed to help you understand your own reproductive health patterns and to support conversations with your GP or specialist: they do not replace a medical consultation, and you should always seek professional medical advice for any health concerns.
How often should I scan? +
For optimal tracking of your cycle, we recommend daily scanning. This allows our professionals to observe changes in your endometrial health and follicle development over time, providing the most accurate insights into your ovulation patterns. But this will be part of the initial discussion with our team, and we can adapt the scanning frequency to your specific needs and circumstances.
Who reviews my scans? +
Every scan is reviewed by certified clinicians or radiologists. These healthcare professionals analyse your images and provide detailed insights about your endometrial health and ovulation cycle.
How does the AI guidance work? +
Our AI system provides real-time feedback during your scan, guiding you to position the probe correctly and ensuring you capture high-quality images. It's designed to make the scanning process simple and effective, even if you've never used ultrasound technology before.
Is my data secure? +
Absolutely. We use healthcare-grade encryption and security protocols to protect your data. Your scans and personal information are transmitted securely and stored in compliance with UK medical data protection regulations.
How much does Bloom cost? +
Bloom costs £135 per day, or £1,500 for two weeks. This includes your probe, AI-guided scanning, and professional review of all scans. Subsequent weeks are available for £450 per week. Duration of monitoring and timing will be discussed with your clinician prior to starting, and will be adapted to your specific needs. We also offer a money-back guarantee if you are unable to perform scans or if we cannot provide insights from your scans.

We're actively working to reduce the cost of our service to make it accessible to everyone. To achieve this, we're reinvesting in clinical trials that will help us demonstrate efficacy and potentially secure broader healthcare coverage. Your investment today helps us bring affordable reproductive health monitoring to more women in the future.

Let us know if cost is a barrier →
What can I learn about my reproductive health? +
Through professional review of your scans, you'll receive insights about your endometrial health, the location of your physiological follicle, predictions about when you're about to ovulate, confirmation of ovulation, and patterns in your cycle over time. This information helps you better understand your body and plan accordingly.